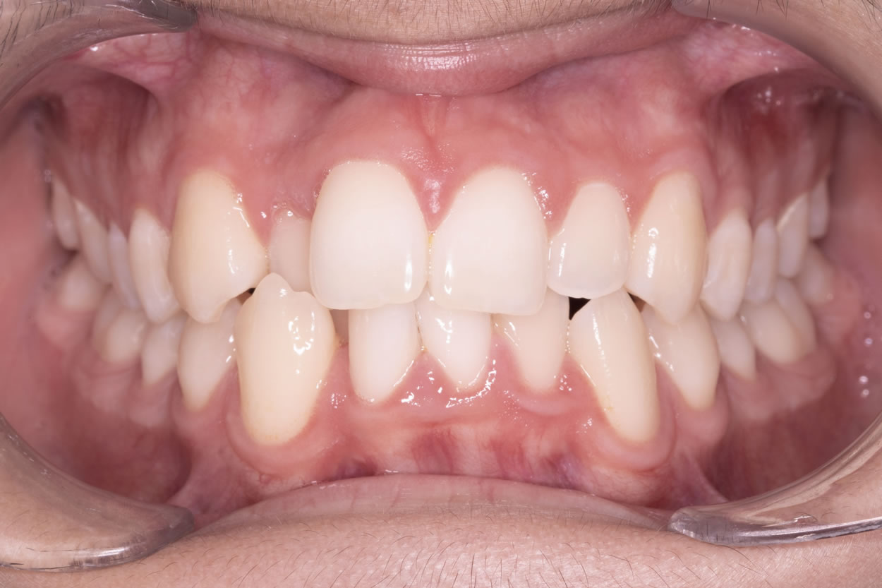
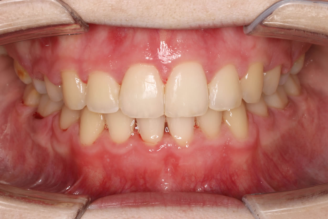
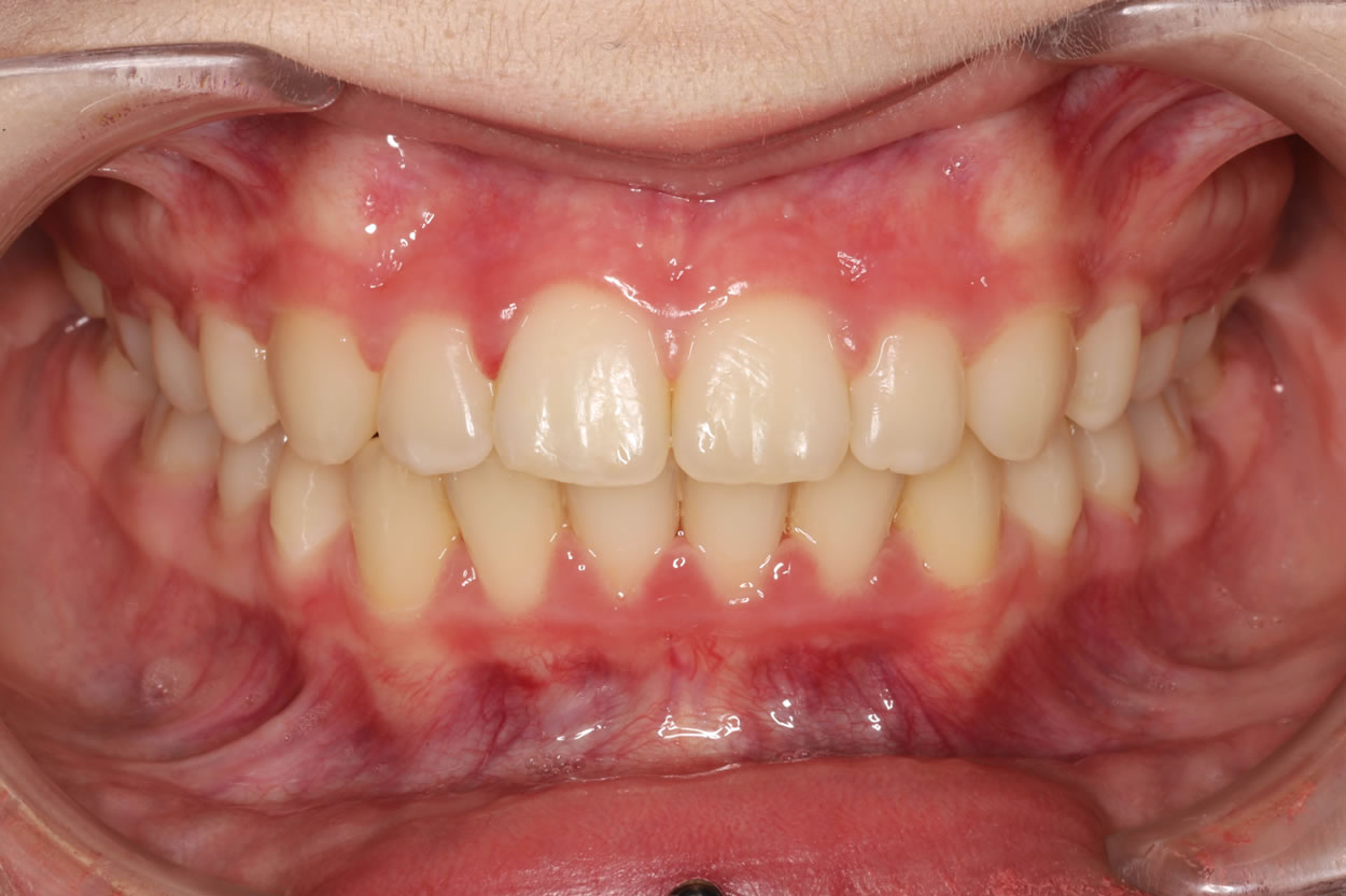
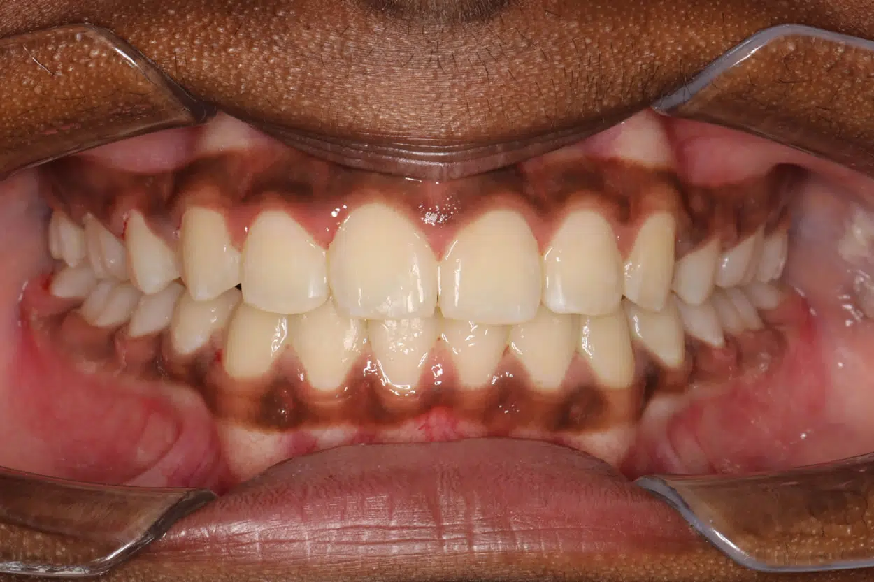
Orthodontic transformations

From minor adjustments to major smile makeovers, Family Orthodontics delivers results you can see and feel. View our gallery of before and after photos to see the expert work our Orthodontists Liverpool and Carlingford have achieved.

View Gallery

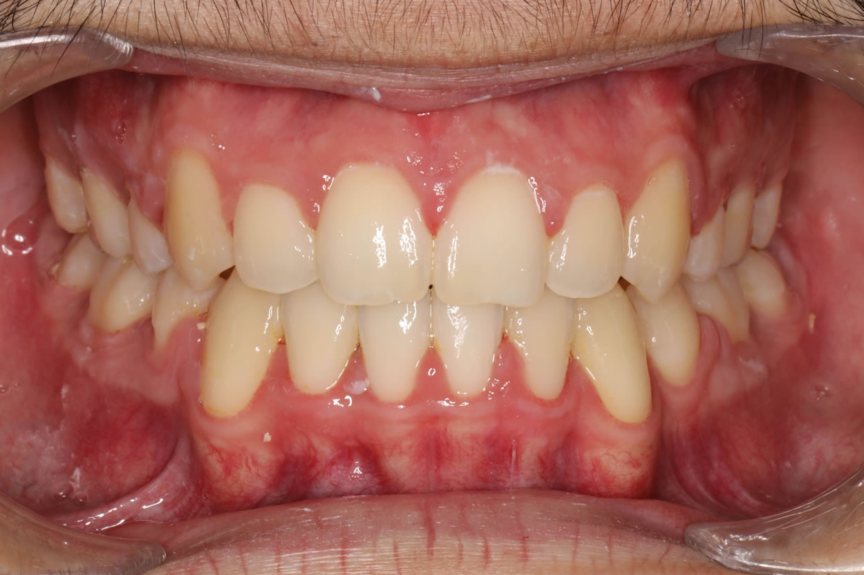
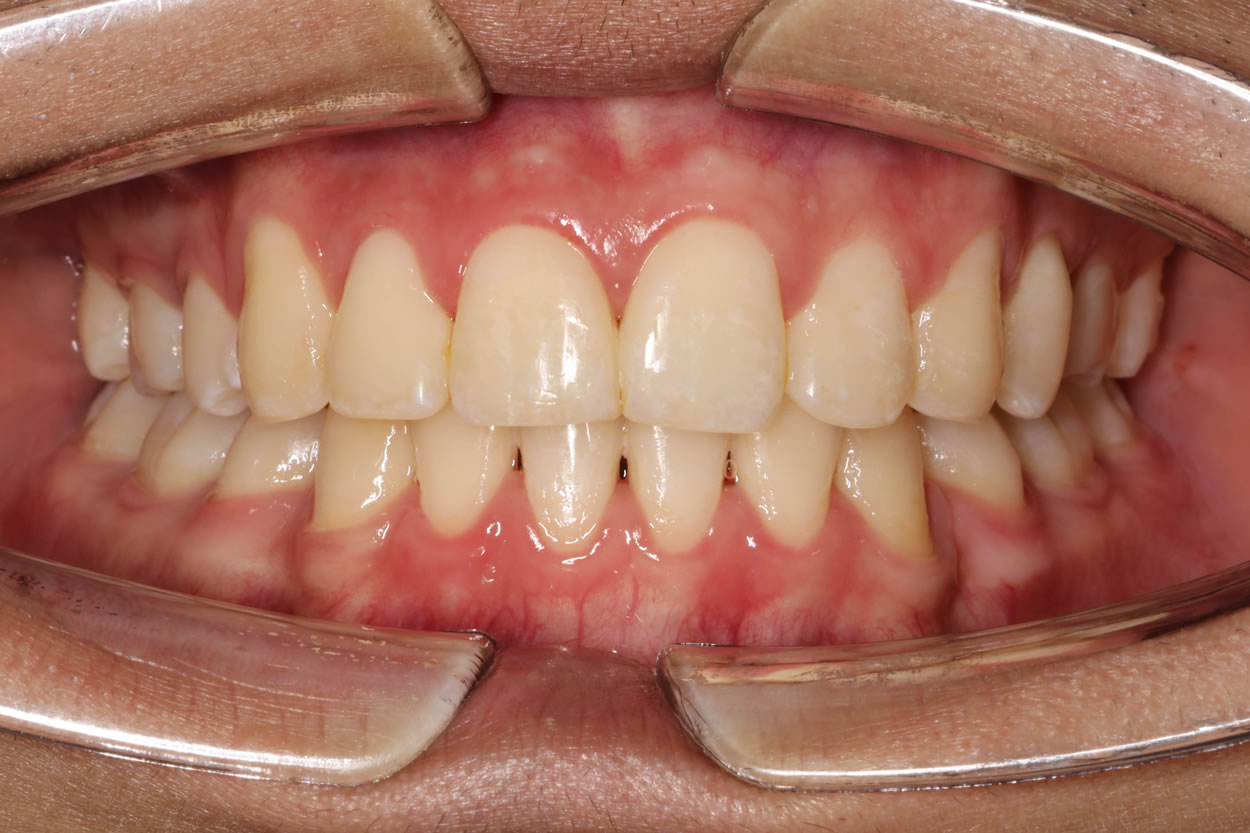
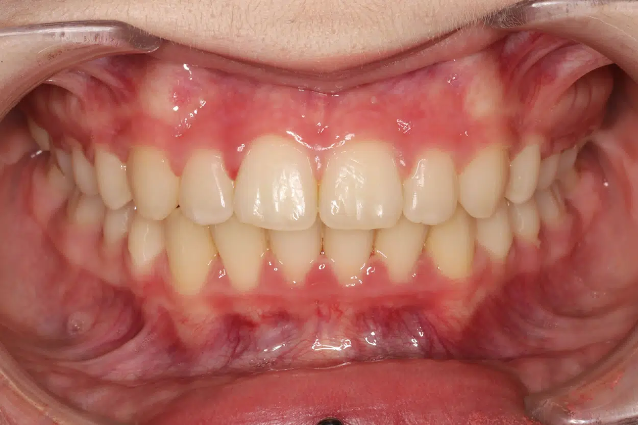
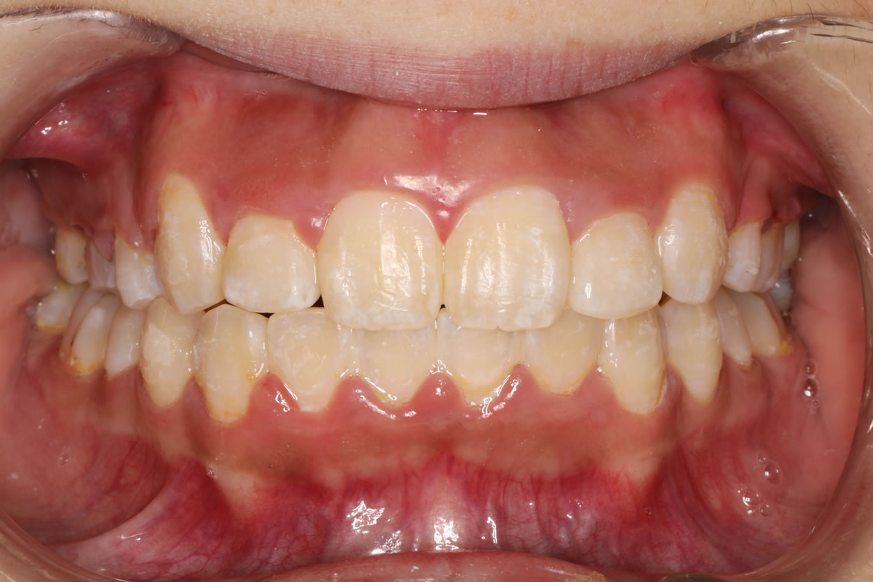
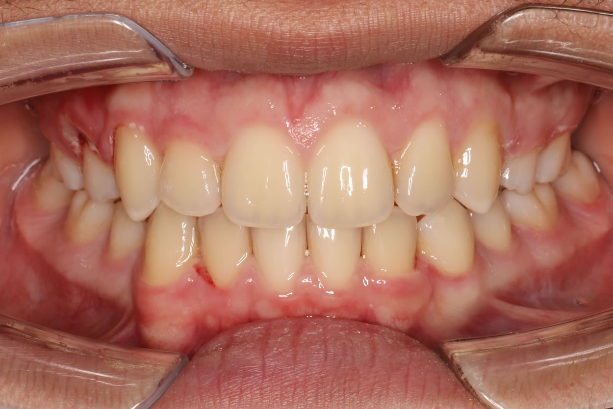
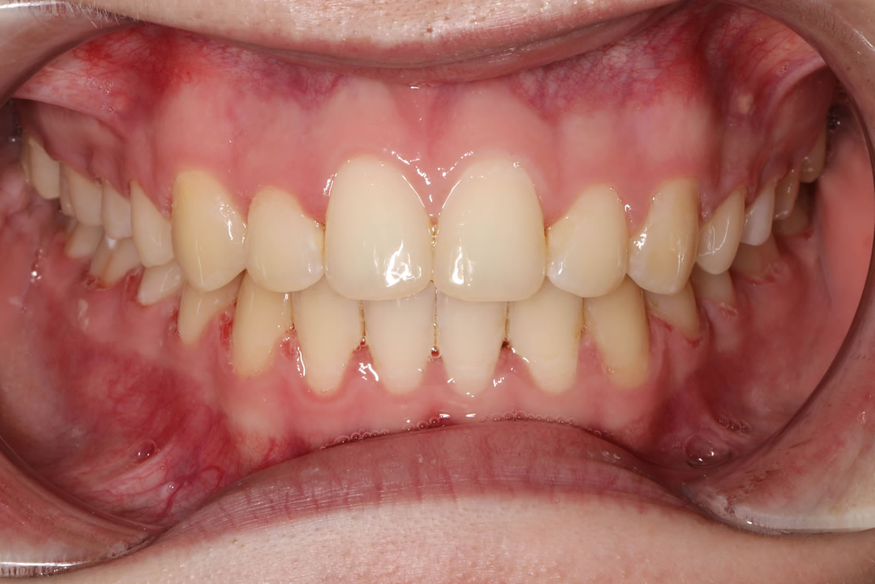
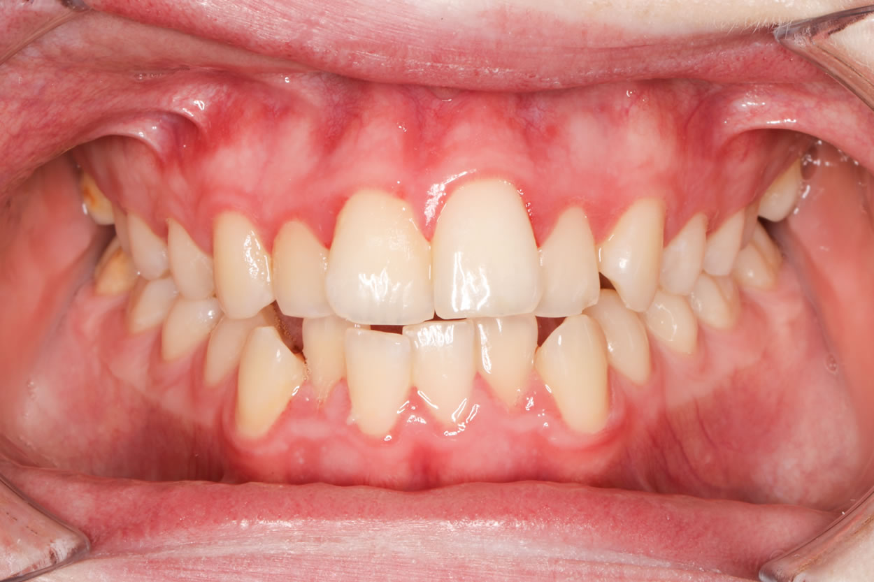
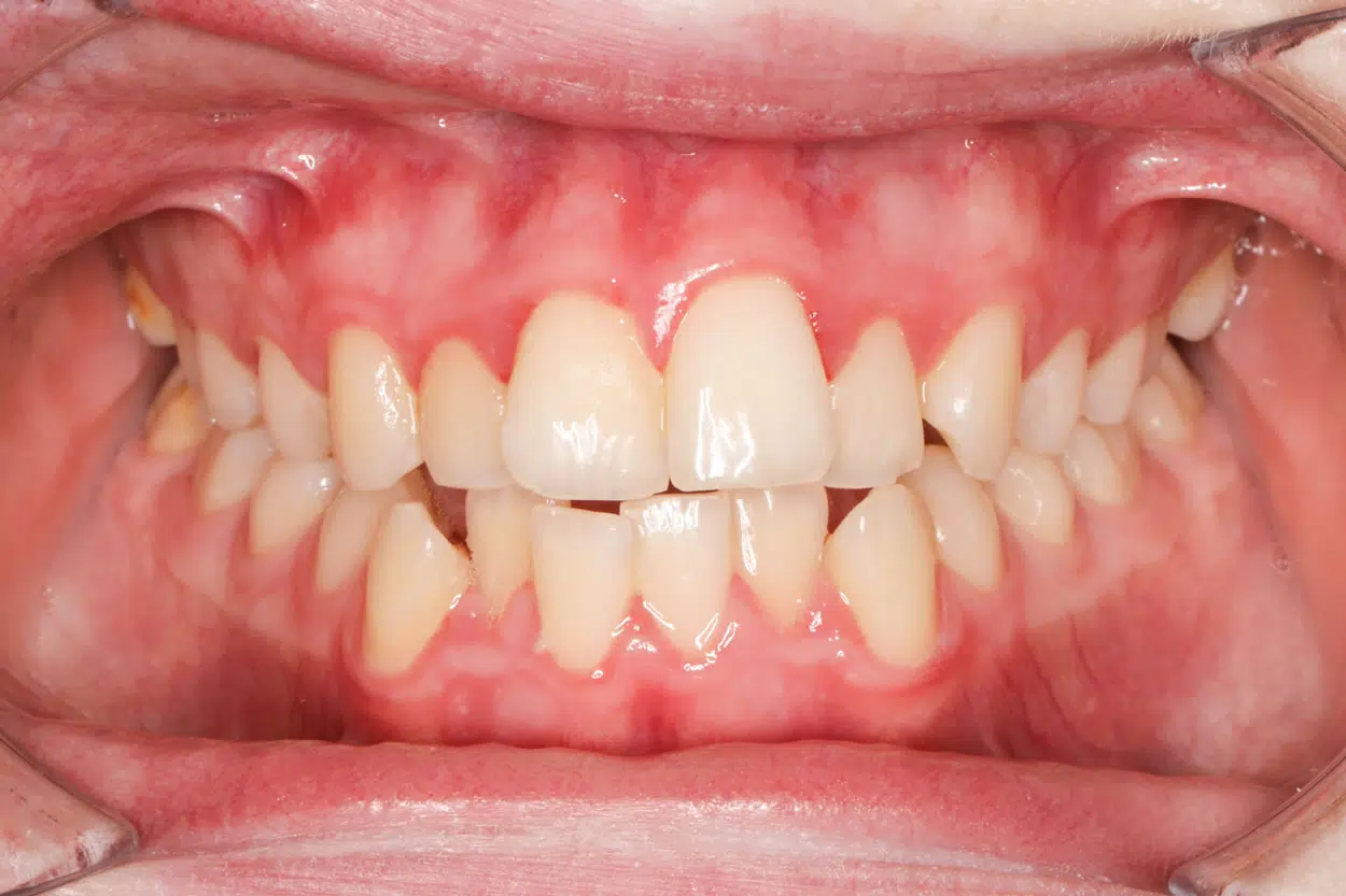
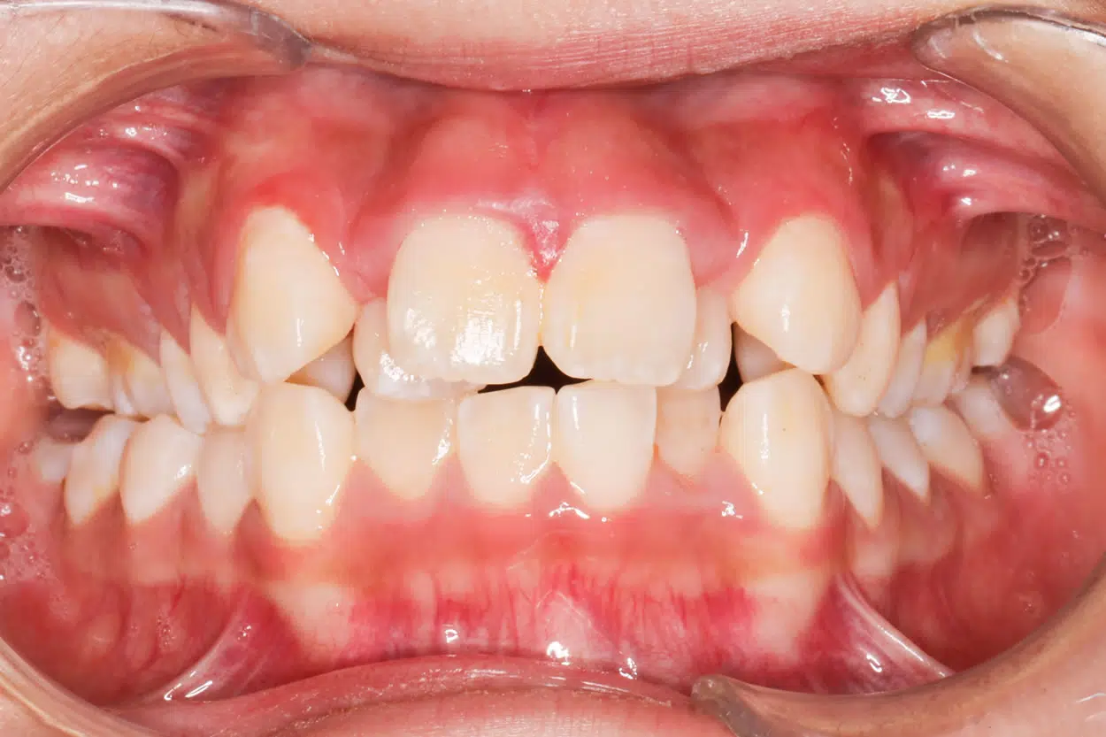
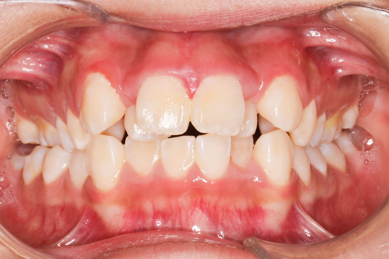
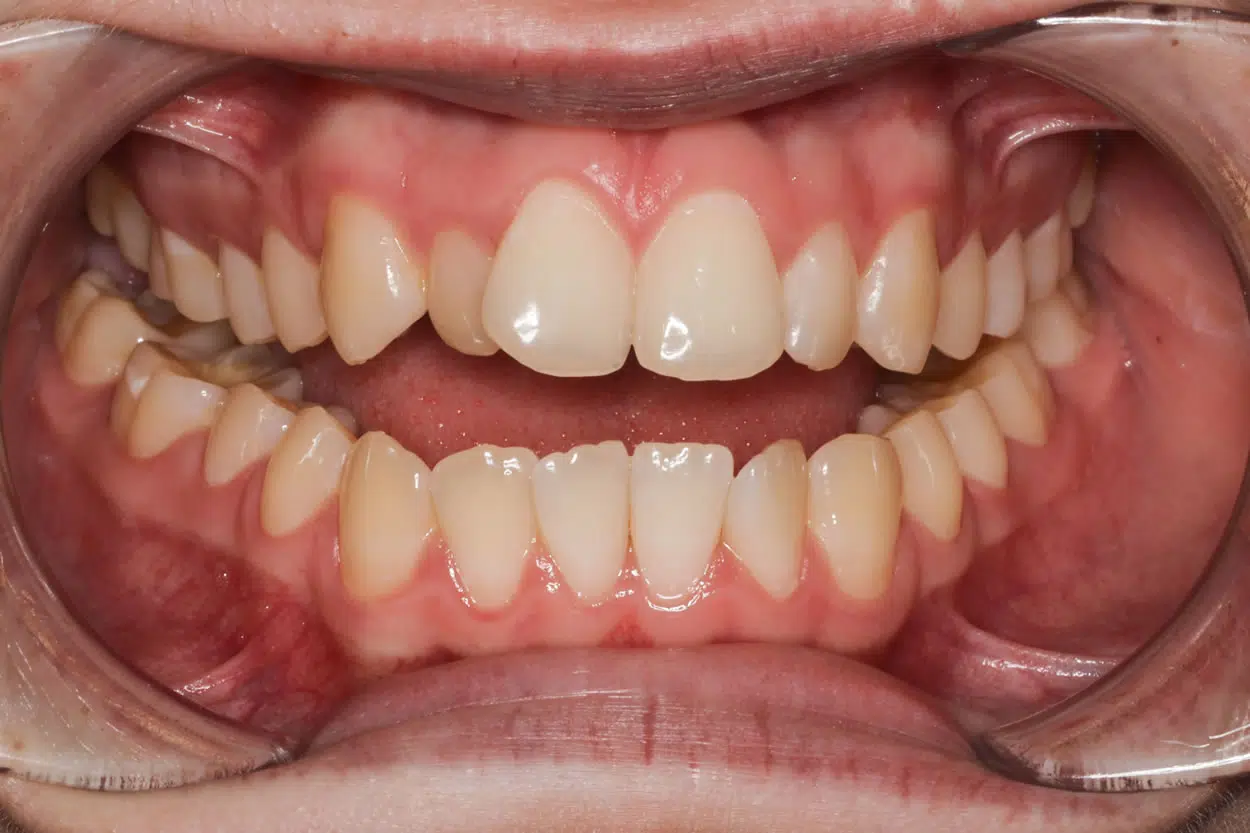
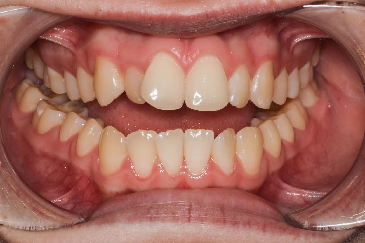
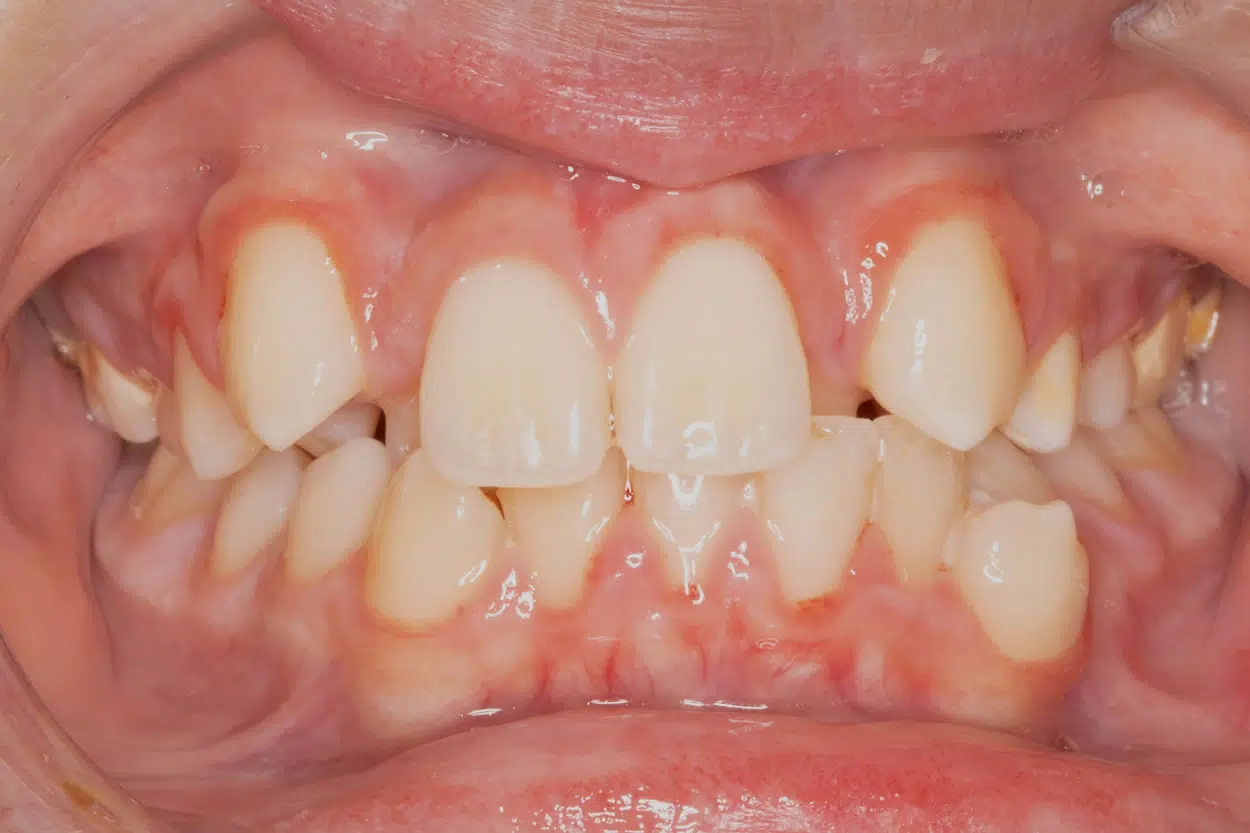
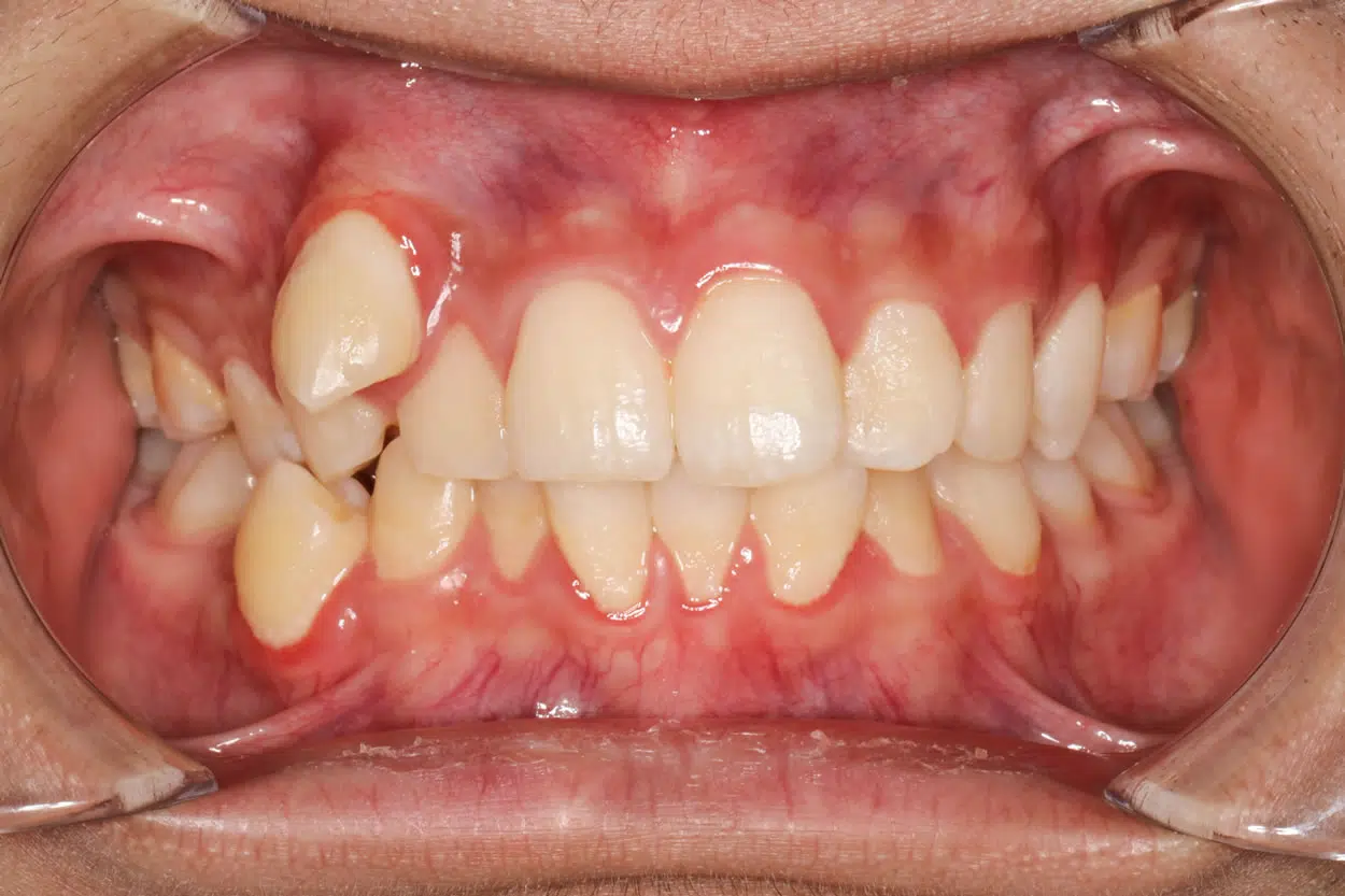
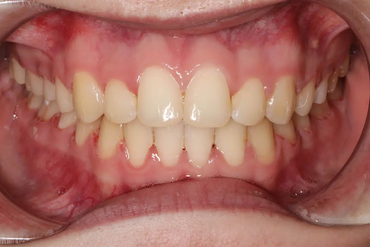
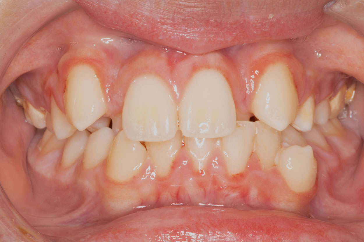
Real results

Explore some of the amazing orthodontic transformations we’ve achieved at Family Orthodontics. Use the slider on each image to reveal the before and after results. Simply drag to compare – the left side shows the smile before treatment, and the right side reveals the final outcome.